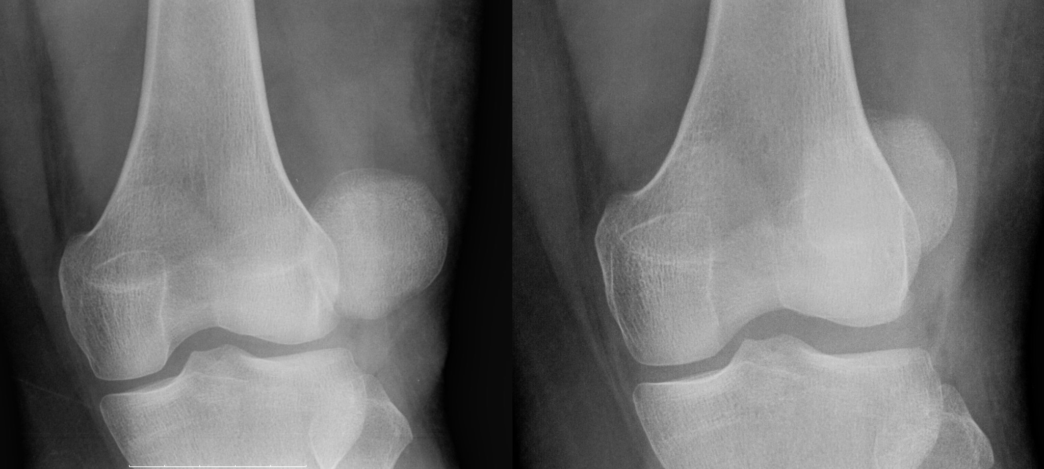
luxating patella

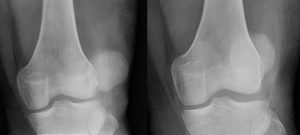
luxating patella