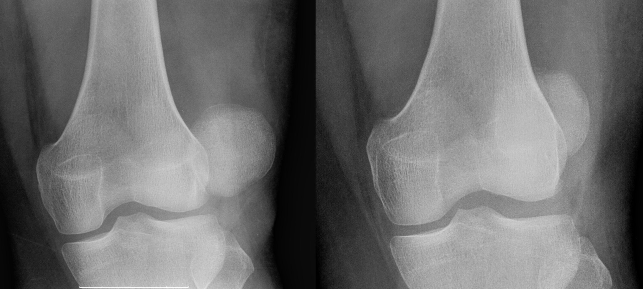
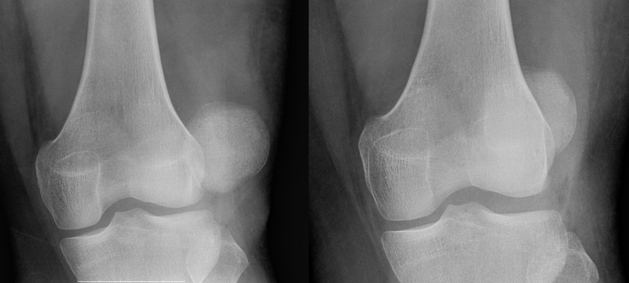
Luxating Patella Correction

Commonly known as the “knee cap”, the patella can become dislocated. Drifting out of place, it tends to cause your animal to hold their leg in the flexing position. The slipped patella causing the knee to lock and hold. This can happen in both cats and dogs, often manifesting in smaller breeds. Severity and affect are variable. Grade 1-2 may include holding up the leg a few steps, or skipping to a more severe condition which may lead to being unable to extend the leg, bowing or a pigeon-toed posture.
There are surgical correction options available at TLC Pet Hospital. The surgery is designed to improve leg function and to resist degenerative joint disease with the stabilization of the patella in the trochlea. The surgery is a good option for older pets who have lost mobility. 95% of dogs undergoing the repair will produce significant improvement in knee function.
